반응형

폐암은 국내 암 사망률 1위로, 조기에 발견하지 않으면 예후가 좋지 않은 질환입니다.
폐암은 초기 증상이 거의 없어 진단이 늦어지는 경우가 많으며, 진행 속도가 빠르고 전이가 잘 되는 특징이 있습니다.
그러나 조기에 발견하면 5년 생존율이 60~90%까지 증가할 수 있으며, 최근에는 수술, 항암치료, 방사선 치료, 면역치료 등의 발전으로 치료 성적이 향상되고 있습니다. 이 글에서는 폐암의 초기 증상, 진단 방법, 그리고 치료 과정까지 단계별로 자세히 알아보겠습니다.
폐암 초기 증상과 자가 진단법
폐암은 진행될 때까지 뚜렷한 증상이 없는 경우가 많습니다. 그러나 아래와 같은 증상이 지속되면 폐암 검사를 고려해야 합니다.
- 주요 초기 증상
- 지속적인 기침: 감기와 관계없이 3주 이상 마른기침이 계속될 때
- 혈담: 가래에 피가 섞여 나오거나 검붉은 색을 띨 때
- 호흡곤란: 가벼운 활동에도 숨이 차거나 호흡이 어려울 때
- 흉통: 깊은 숨을 쉴 때 가슴 통증이 지속될 때
- 목쉼 또는 삼킴곤란: 성대 마비로 목소리가 쉬거나 음식 삼키기가 어려울 때
- 원인 모를 체중 감소 및 피로: 특별한 이유 없이 체중이 줄거나 피로가 심할 때
- 폐암과 혼동하기 쉬운 질환
- 폐렴 또는 기관지염: 기침, 가래, 발열이 동반되나 항생제 치료로 호전될 수 있습니다.
- 결핵: 혈담이 나타날 수 있으나, 결핵균 검사로 구별 가능합니다.
- 천식 또는 만성폐쇄성폐질환(COPD): 숨이 차는 증상이 있으나, 흡입제 치료로 개선됩니다.
폐암 진단 방법
폐암은 조기에 발견할수록 생존율이 높아지므로 정기적인 검사가 필수적입니다. 주요 진단법을 살펴보겠습니다.
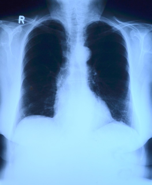
- 흉부 X-ray 검사
기본적인 폐 검사로 이상이 있을 경우 추가 검사가 필요하며, 조기 폐암은 발견이 어려울 수 있습니다. - 저선량 CT 검사
폐암 조기 발견을 위해 권장되는 검사 방법으로 방사선 피폭이 적으며, 작은 종양도 발견 가능합니다. - 기관지내시경 검사
기관지를 내시경으로 직접 관찰하며 조직 검사를 시행할 수 있습니다. 중앙에 위치한 종양 진단에 유용합니다. - PET-CT 검사
암세포의 대사활동을 분석하여 암의 전이 여부를 확인 가능합니다. 비용이 비싸지만 정밀한 검사 결과를 얻을 수 있습니다.
폐암 치료 과정 (수술, 항암치료, 방사선 치료, 면역치료)
폐암의 치료 방법은 암의 진행 정도와 환자의 건강 상태에 따라 달라집니다. 일반적으로 수술, 항암치료, 방사선 치료, 면역치료가 병행될 수 있습니다.
- 수술 치료
- 초기(1~2기): 종양이 국한된 경우 폐엽 절제술 또는 전폐 절제술 시행합니다.
- 진행성(3기 이상): 림프절 전이가 있는 경우, 수술 후 항암 및 방사선 치료 병행합니다.
- 항암치료 (화학요법)
- 수술이 어려운 환자나 전이성 폐암 환자에게 적용할 수 있습니다.
대표적인 항암제로는 시스플라틴, 파클리탁셀, 젬시타빈 등이 있으며, 구토, 면역력 저하, 탈모 등의 부작용이 발생할 수 있음.
- 수술이 어려운 환자나 전이성 폐암 환자에게 적용할 수 있습니다.
- 방사선 치료
- 수술이 어려운 경우 또는 수술 후 잔여 암세포 제거를 위해 시행합니다. 뇌, 뼈 등으로 전이된 폐암 환자에게도 적용 가능합니다.
- 면역치료
- 면역세포가 암세포를 공격하도록 활성화하는 치료법입니다. 면역항암제(키트루다, 옵디보 등)를 사용하며, 일부 환자에서 효과적입니다.
수술/항암병원 정보
- 수술 치료
- 서울대학교병원: 폐암 수술 분야에서 국내 최고 수준의 의료진과 풍부한 임상 경험을 자랑합니다. 특히, 로봇 수술과 최소 침습 수술 분야에서 선도적인 역할을 하고 있습니다.
- 세브란스병원: 폐암 수술뿐만 아니라 항암 치료, 방사선 치료 등 다학제적인 접근을 통해 환자 맞춤형 치료를 제공합니다.
- 아산병원: 폐암 수술 건수가 국내에서 가장 많은 병원 중 하나이며, 숙련된 흉부외과 전문의들이 다양한 수술 기법을 적용하여 치료합니다.
- 삼성서울병원: 폐암 수술과 더불어 항암 치료, 방사선 치료 분야에서도 우수한 의료진을 보유하고 있으며, 환자 중심의 다학제 진료 시스템을 운영합니다.
- 가톨릭대학교 서울성모병원: 폐암 수술과 함께 항암 치료, 방사선 치료 분야에서도 전문적인 의료진이 협력하여 최적의 치료 계획을 수립합니다.
- 항암 치료
- 서울대학교병원 암병원: 폐암 항암 치료 분야에서도 국내 최고 수준의 의료진과 시스템을 갖추고 있습니다. 최신 항암 요법 (표적 치료, 면역 항암 치료 등)을 적극적으로 도입하고 있으며, 환자 개개인에 맞는 맞춤형 항암 치료를 제공합니다.
- 세브란스병원 암병원: 다양한 임상 경험을 바탕으로 최적의 항암 치료법을 제시하며, 환자 중심의 다학제 진료를 통해 치료 효과를 높입니다.
- 아산병원 암병원: 최신 항암 치료법과 더불어 환자의 삶의 질을 고려한 치료를 제공하며, 전문적인 의료진이 환자 개개인의 상태에 맞는 맞춤형 항암 치료 계획을 수립합니다.
- 삼성서울병원 암병원: 첨단 항암 치료 시설과 숙련된 의료진을 바탕으로 최상의 항암 치료를 제공하며, 환자 중심의 치료 시스템을 운영하여 환자의 만족도를 높이고 있습니다.
반응형